学历越高,大脑退化越慢,这项历时7年的研究出结果了
学历高低会影响大脑退化速度?
最近,苏黎世大学的一项研究表明,受教育程度高的老人大脑中的一些退化迹象明显更少。
而且面对不可避免的认知功能下降,这些老年人的大脑还能起到很好的补偿作用,从而让老人们保持在更高的智力水平上。
最近,这一研究在Reddit上火了,获赞300+。

网友们纷纷留言表示:
由此看来,老人去老年大学学习,确实是避免阿尔兹海默症的一个好途径。

并且该研究显示,受调查的这群高学历老人社交生活更为丰富、处理信息的速度也更快。
看来,不只是找工作,避免老年痴呆也需要学历助一臂之力啊。
学历越高的老人大脑退化更慢
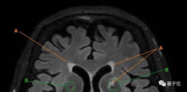
得出以上结论,研究人员主要是通过追踪老人大脑中脑白质高信号(WMH)和腔隙的变化来实现的。

△A为脑白质高信号;B为腔隙
以上两种现象都是脑小血管病(CSVD)的主要表现。
这种疾病在老年人群体中高发,会表现出情感障碍、认知功能下降等症状,
也就是说,当老人的大脑中出现脑白质高信号、腔隙变多变大等情况,就意味着老人的大脑可能在发生退化。
在此基础上,研究人员针对200多位智力水平正常的老人,展开了为期7年的跟踪调查。
他们定期使用核磁共振成像来扫描实验对象大脑,并对其心理健康密切关注。
其中,高中以下学历背景的老人有60位,高中或高职学历背景的老人有42位,大学及以上学历背景的老人有108位。
总体来看,调查7年内脑白质高信号(WMH)显著增加,平均每年增长量为7.9%。

单看年龄、性别、教育等方面因素,下表中I表示为线性关系函数的截距,S表示为线性关系函数的斜率。
其中,年龄与WMH呈正比例关系,随着年龄增大、WMH增多。
教育背景则与WMH呈反比例关系,即所受教育程度越高,WMH增多越不明显。

而且研究人员发现,不只是大脑中的变化,学历背景越高的老人社交活动更为丰富,心理健康水平下降也更不明显。
不过研究人员也提到,目前还不能证明受教育程度与大脑退化减弱之间存在因果关系。
但有几点是可以推测的:
我们认为受到的教育越多,大脑中的神经网络也会相应增加。并且高学历背景人士的大脑,到了老年还会更好弥补其自身发生的损伤。
该研究通讯作者Lutz Jncke补充道:大脑一直活跃到老年,可能不易受到退化的影响。这还需要日后更长期的研究予以证实。
Lutz Jncke是苏黎世大学神经心理学方面的教授。
此前他已经在学术期刊上发表论文超400篇,论文被引用次数超4w。

One More Thing
在去年5月,《美国国家科学院院刊(PNAS)》上的一项研究,也揭示了大脑与受教育程度之间的关系。

挪威奥斯陆大学领导的国际研究团队从脑组织萎缩的角度展开研究,对超过2000人的脑部扫描。
结果发现,受教育程度对大脑延缓衰老并没有什么保护作用。随着时间推移,受教育程度较高的人脑组织损失的速度与其他人一样快。
简而言之, 在脑组织萎缩面前,几乎人人平等。
不过该研究表示:受教育程度越高还是可以保护大脑避免痴呆症风险因素的影响。
论文地址:
https://www.sciencedirect.com/science/article/pii/S2213158221003284?via%3Dihub
参考链接:
[1]https://www.reddit.com/r/science/comments/rss9k4/academic_education_can_positively_affect_aging_of/[2]https://www.pnas.org/content/118/18/e2101644118[3]https://www.media.uzh.ch/en/Press-Releases/2021/Aging-of-the-Brain.html
本文来自微信公众号“量子位”(ID:QbitAI),作者:明敏,36氪经授权发布。
相关推荐
睡觉时,大脑正在抹除你的记忆?
一块GPU就可以模拟大脑吗?
被嫌弃的日本博士:学历越高,赚钱越少?
大脑残缺,意识还能存在吗?
外来人口不是洪水猛兽,城市落户不应设学历门槛
历时7年,亚马逊无人机终于要上岗送货了
跨物种脑-脑连接:听障人士通过豚鼠大脑听到了声音
健身教练学历化,会成为趋势吗?
有时候你觉得大脑遗忘的速度很快,这是为什么呢?
人类大脑里的“GPS”,是怎么定位的?
网址: 学历越高,大脑退化越慢,这项历时7年的研究出结果了 http://www.xishuta.cn/newsview56900.html
推荐科技快讯
- 1问界商标转让释放信号:赛力斯 95792
- 2报告:抖音海外版下载量突破1 25736
- 3人类唯一的出路:变成人工智能 25175
- 4人类唯一的出路: 变成人工智 24611
- 5移动办公如何高效?谷歌研究了 24309
- 6华为 nova14深度评测: 13155
- 7滴滴出行被投诉价格操纵,网约 11888
- 82023年起,银行存取款迎来 10774
- 9五一来了,大数据杀熟又想来, 9794
- 10手机中存在一个监听开关,你关 9519
