染色体长什么样?
本文来自微信公众号:原理(ID:principia1687),作者:Harvard,题图来自:视觉中国
一
对于所有的生物来说,创造出的新细胞来取代那些因老旧而无法正常运作的细胞都是维持生命所必要的过程。为此,细胞会通过分裂并复制DNA来做到这一点。DNA“居住”在染色体内部,被染色质(染色体内部的物质)所包围。
一个长链DNA如果呈直线延展,可以延伸到约1.8米的长度。为了将自己“封装”进染色体这种复杂的结构中,长长的DNA需要借助组蛋白让自己缠绕成紧密的结构,当DNA在复制或重新缠绕的过程中出现了任何错误,都有可能导致基因突变或功能障碍。因此,理解包围了这些DNA的染色质的3D构造,这些构造背后的分子机制,以及它们会如何调节基因组的功能是非常关键的。然而,这一点却并不容易做到。
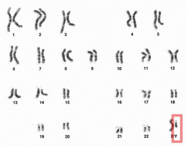
在教科书中,人类的46条两两成对的染色体常被描绘成X形,然而这种描绘并不准确。用研究人员Jun-Han Su的话来说:“在90%的情况下,染色体并不这样。”

人类的23对染色体。| 图片来源:National Human Genome Research Institute
今年8月,《细胞》杂志上刊登了一项新的研究,作为该论文的第一作者,Su与哈佛大学的庄小威教授以及其他研究人员报告了一种新的方法,他们用一种3D成像技术捕捉到了人类染色体的高分辨率图像。
二
在新研究中,研究人员利用一种新的高分辨率3D成像方法,对染色质的结构和行为一同进行了研究。他们使用了46条染色体的广角镜头图像和一条染色体的一个部分的特写镜头图像。为了可视化那些仍然因为太小无法成像的东西,他们沿着每个DNA链捕捉基因组位点(基因座),通过将大量的这些位点接起来,为染色质结构构建了一个全面而详尽的图像,并确定了一个位点会如何影响另一个位点。
然而在这个创建图像的过程中,研究人员曾面临一个技术性的障碍。据研究人员介绍,在以往的研究中,能够被成像并被识别的位点数量受到所能成像的颜色数量制约,而这个颜色数量的极限为3个。很显然,仅使用3个点是不能勾勒一幅全面的图景的。
为了解决这个问题,研究人员采用了一个巧妙的方法:他们先给三个不同的基因座成像,然后“灭”掉这个信号,再迅速地连续给另外三个基因座成像。通过这种方法,每个点都有两个识别标记:颜色和图像。
据庄教授介绍,他们有60个基因座可以被同时成像、定位、识别。但若想要覆盖整个基因组,这个数字还要更大,大到数以千计。因此,他们转而启用了一种二进制方法,这是一种早被用于梳理和存储大量信息的语言。他们给不同的染色质基因座上”加印“上二进制条形码,例如在第一轮中被成像的分子但没有在第二轮成像的分子,将得到以“10”开头的条形码。
通过这种加印二进制条形码的方法,他们可以只需进行20轮成像,就识别出2000个分子,大大增加了被成像和识别的分子数量。在这种技术的帮助下,研究人员最终对每个细胞的约2000个染色质基因座进行了成像,这比他们在此之前进行的研究增加了十倍以上,从而以高分辨率绘制出了染色质结构的3D图像。

研究产生的彩色染色质图像。| 图片来源:庄小威实验室
三
然而,他们的探索并没有止步于此,他们还对转录活性(当RNA从DNA复制遗传物质时)以及核结构(如核斑点和核仁)进行了成像。有了基因组的3D绘图,他们就能着手分析结构是如何随时间变化的,以及这些区域的运动是如何帮助或伤害细胞的分裂和复制的。
研究人员已经知道,染色质会被分成不同的区块;然而他们尚不知道的是这些区域在不同的细胞类型中会是什么样子,以及它们又会如何工作。通过这些高分辨率的图像,研究人员确定了,那些有着很多基因的区域倾向于在所有染色体上的相似区域上聚集;而基因较少的区域只有在拥有相同染色体的情况下才会聚集在一起。
有一种理论认为,基因丰富的区域(即基因转录活跃的区域)会像一个工厂一样,能把基因聚集在一起,使得生产更加高效。虽然在证实这一理论之前还需要进行更多的研究,但可以肯定的是——染色质的局部环境会影响转录活性,它们的结构也会影响功能。
四
一直以来,想要通过放大来看清染色质的结构是很困难的,要同时考虑其结构和功能更是困难。这项研究所得到的图像不仅为那些被描绘成X形的染色体提供了更复杂、更精确的符号,使得科学家得以更准确地认识染色体的真实样貌,还能帮助他们解开染色体结构如何影响其功能的谜团。
此外,这些图像还让研究人员意识到,即使是在完全相同的细胞中,也不存在两条完全相同的染色体。因此庄教授表示,要想知道人体每个细胞中的每条染色体是什么样子,仅依靠一个团队的力量是不够的,这需要更多的科学家团队也加入这项研究,以获得更加全面的了解。
参考来源:
https://phys.org/news/2020-11-chromosomes.html
https://doi.org/10.1016/j.cell.2020.07.032
本文来自微信公众号:原理(ID:principia1687),作者:Harvard
相关推荐
染色体长什么样?
是什么样的机器人,可以“旋转跳跃闭着眼”?
少数派的未来猜想 | 20 年会变什么样?淘宝造物节已经作出了「预言」
受猎豹启发,研究人员开发出速度最快的软体机器人
硅谷早知道第三季丨07 是的,我们是见证太空商业化的一代人
优衣库、森马大供应商亚东集团谋求上市:处行业冰点,能破局吗?
印度需要什么样的互联网产品?
真实的快手社区到底什么样?
36氪首发|「长胜科技」完成数千万美元B轮融资,以染印技术切入搭建合资服装供应链
爱马仕将建最大鳄鱼养殖场,5万只鳄鱼用来做包包?网友吵翻
网址: 染色体长什么样? http://www.xishuta.cn/newsview34488.html
推荐科技快讯
- 1问界商标转让释放信号:赛力斯 95792
- 2报告:抖音海外版下载量突破1 25736
- 3人类唯一的出路:变成人工智能 25175
- 4人类唯一的出路: 变成人工智 24611
- 5移动办公如何高效?谷歌研究了 24309
- 6华为 nova14深度评测: 13155
- 7滴滴出行被投诉价格操纵,网约 11888
- 82023年起,银行存取款迎来 10774
- 9五一来了,大数据杀熟又想来, 9794
- 10手机中存在一个监听开关,你关 9519
