“笑死病”的恐怖往事
朊病毒,容易让人误解为它是某种病毒,所以现在一般会称其为“朊毒体”。文中所描绘的法雷部落,当时之所以有食人仪式,部分原因是因为法雷人相信,家人遗体被自己心爱之人分食掉,总比被蛆虫吞噬掉好很多。当时的研究人员也观察到,女性作为母亲,也会把肉分给孩子们吃。这些未成年的孩子,尤其是男孩,只有在成年后才会被告知尽量不要吃。另外,个人建议,好奇心很强的人士尽量别心血来潮去吃宠物粮,答案在文中找。
本文来自微信公众号:利维坦 (ID:liweitan2014),作者:Gilles Messier,编译:Tim,题图来自:《大内密探零零发》
症状逐渐而又不可避免地显现。一开始是头痛、关节疼痛以及手脚的颤抖,虽然轻微,但强度逐渐加剧。受害者的动作变得越来越不协调,站立和行走都变得不稳定。很快,他们便完全无法行走,被严重的颤抖和肌肉痉挛折磨。接着,最令人担忧的症状出现了,受害者开始在没有任何原因的情况下突然哭泣或失控地大笑。紧接着是神志错乱和瘫痪,最终导致他们无法移动、说话、进食或进行眼神交流。
最终,在症状开始后的12个月,死亡无法避免地来临。这就是库鲁病(Kuru),一种恐怖且无法治愈的神经退行性疾病,近100年来一直是巴布亚新几内亚法雷人(Fore)的梦魇。在长达半个多世纪的时间里,库鲁病的起源一直是个谜,直到上世纪60年代的开创性研究揭示了它并非由细菌、病毒、寄生虫乃至真菌引起,而是由更为诡异的因素造成。
1914年,第一次世界大战初期,澳大利亚军队入侵并占领了德意志帝国的新几内亚殖民地。随后,该地区逐渐发展成为今天的巴布亚新几内亚,并持续70年受澳大利亚控制。在这几十年里,传教士和殖民地巡逻官(Kiap)深入该地区内陆,试图将基督教和西方的法律、行政和医疗实践传播给岛上的土著居民。
20世纪50年代初,殖民地巡逻官开始传回消息,称东部高地的土著居民中流行着一种奇怪且无法治愈的疾病,其中包括法雷人以及附近的阿瓦(Awa)、亚特(Yate)和乌苏尔法(Usurfa)等族群。法雷人称之为“库鲁”病,它来自于“库里亚”(kuria)一词,意为“颤抖”或“震颤”,这种疾病导致肌肉控制逐渐丧失,并最终导致死亡。
在疾病晚期,患者常常会无缘无故地爆发出笑声,因此库鲁病也被称为“纳吉纳吉”(nagi-nagi)或“笑病”(laughing sickness)[1]。据估计,库鲁病起源于20世纪初,到了20世纪50年代,已经演变成为一场全面爆发的流行病,每年约有200名法雷人(占该族人口的1%)死于该病。
第一个描述库鲁病的西方人是巡逻官阿瑟·凯里(Arthur Carey)。据他1951年的一份报告中的观察,该疾病在法雷人中的影响不成比例,主要影响女性和儿童,而不是男性。随后的两年,人类学家罗纳德和凯瑟琳·伯恩特(Ronald and Catherine Berndt),巡逻官约翰·麦克阿瑟(John McArthur)也对这种疾病进行了描述。然而,他们都将这场流行病视为纯粹的心理现象,认为它是源于法雷人对巫术和灵魂附体信仰的集体癔症。
事实上,法雷人最初认为库鲁病是来自敌对部落的邪恶巫师,这些巫师会获得受害者的一些身体部位,如头发或指甲剪,并结合衣服、树叶、血液和其他材料制成一个“库鲁包”。巫师每天晃动这个包,直到库鲁病的显著颤抖症状在预定的受害者身上出现。
然而,美国病毒学家丹尼尔·盖杜塞克(Daniel Gajdusek)和医生文森特·齐加斯(Vincent Zigas)坚信库鲁病不可能是纯粹的心理现象,并向罗纳德·伯恩特写信表示怀疑:
“......我们目前的意见是,致命的库鲁病无论如何都不可能与歇斯底里、精神病或任何已知的心理诱发疾病相联系。库鲁病患者眼睛斜视(眼睛下垂或交叉)的症状中,证明存在明显的神经系统损伤,并且晚期病例显现出严重的神经系统疾病症状。”
因此,1957年,盖杜塞克和齐加斯启动了第一项正式的库鲁病科学研究[2]。他们的分析发表在《澳大利亚医学杂志》(Medical Journal of Australia)上,提出库鲁病可能源于遗传,通过家族血脉传递。然而,要确认这个假设,需要对法雷人之间的亲属关系进行更深入的研究。
于是,1961年,医学研究员迈克尔·奥尔珀斯(Michael Alpers)和人类学家雪莉·林登鲍姆(Shirley Lindenbaum)利用洛克菲勒基金会的研究拨款,前往巴布亚新几内亚的东部高地省,对法雷人进行人类学和流行病学研究。
在接下来的两年里,奥尔珀斯和林登鲍姆发现,法雷人之间的亲属关系并不严格基于生物相关性,而是一个复杂的社会关联系统,并与邻近个体形成紧密联系。他们发现,库鲁病主要沿着家族关系传播,而非严格限于生物学上有关联的个体之间传播,这使得它不太可能是通过遗传方式进行的。
流行病学数据进一步排除了通过空气、昆虫或污染水源传播的可能性。那么,它究竟是如何传播的呢?接下来出乎意料的答案震惊了科学界,也为人类疾病研究开启了一个奇异而新奇的篇章:奥尔珀斯和林登鲍姆发现,库鲁病是通过食人行为传播的。
在当时,法雷人实行一种被称为丧葬食人的仪式,即仪式性地食用已故家人的尸体,以表达对逝者的尊重,并将其灵魂或“生命力”还归部落。尸体会在埋葬数天后被挖掘出来,然后被解剖、烹饪,并由整个部落共同食用,甚至蛆虫也被当作一道配菜。尽管法雷人会避免接触那些死于痢疾、麻风病和其他疾病的尸体,但那些死于库鲁病的人仍然被经常食用[3]。
随着奥尔珀斯和林登鲍姆的进一步观察,他们越来越确信这种习俗是库鲁病流行的核心原因。例如,尸体的处理几乎完全由女性负责,而女性参与的可能性也比男性高得多。
这主要有两个原因:首先,法雷男性认为这会削弱他们在战斗时的力量;其次,人们认为女性的身体更能驯服逝者的灵魂。更重要的是,被库鲁病破坏最严重的人脑——主要也是由女性和儿童食用,而男性参与时更倾向于吃尸体的其他部位。这些事实似乎解释了为什么库鲁病主要影响女性和儿童,却只有约3%的法雷男性患上这种疾病。

1957年,美国病毒学家丹尼尔·盖杜塞克(左)在巴布亚新几内亚。© Circulating Now
然而,尽管这些库鲁病起源和传播途径的证据令人信服,科学家们仍然不清楚该疾病发病的真正原因。为了找到答案,奥尔珀斯于1968年从一名死于库鲁病的11岁法雷女孩的尸体中采集了脑组织样本,并将其交给了丹尼尔·盖杜塞克在美国国立卫生研究院(National Institutes of Health)的实验室进行研究[4]。
盖杜塞克与合作者乔·吉布斯(Joe Gibbs)将样本研磨成粉,并将其注入黑猩猩的大脑。在两年内,黑猩猩开始表现出库鲁病的典型症状:严重的颤抖、逐渐失去肌肉控制和认知功能,最终导致死亡。

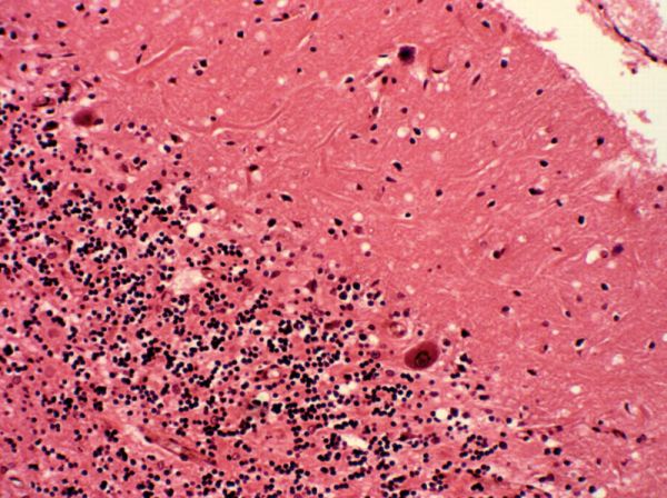
库鲁病患者的大脑内布满了数百万个微小的孔洞。© THE ROYAL SOCIETY PUBLISHING
当盖杜塞克和吉布斯对黑猩猩进行尸检时,发现它们的大脑——特别是控制肌肉协调的小脑——布满了数百万个微小的孔洞,在显微镜下呈现出海绵或奶酪的样貌。这项实验不仅证实了库鲁病是通过受感染的组织传播并直接攻击大脑,而且是实验室环境中疾病从一个物种传播到另一个物种的极其罕见的实例,也是首例已知的传染性神经退行性疾病病例。
然而,尽管这项研究使盖杜塞克于1976年获得了诺贝尔生理学或医学奖,但他最终未能分离出导致库鲁病的实际病原体。一次次的实验排除了细菌、病毒、真菌和原生生物,使真正的致病因子成为一个令人困惑的谜团。
直到1970年代末,库鲁病的谜团才得以解开。
当时,盖杜塞克与英国研究人员E.J.菲尔德(E.J. Field)、蒂夸·阿尔珀(Tikvah Alper)和约翰·格里菲斯(John Griffith)注意到库鲁病与羊搔痒症(Scrapie)和克雅氏症(Creutzfeldt-Jakob disease,CJD)之间有着惊人的相似之处[5]。
羊搔痒症首次被记载出现在18世纪,这是一种主要影响绵羊和山羊的疾病,以患病动物因瘙痒而在树木和围栏上擦破皮肤而得名;而克雅氏症是一种罕见的人类神经退行性疾病,首次医学记载出现在1920年代。与库鲁病类似,这两种疾病都无法治愈,并且不可避免地会导致死亡。
在一系列开创性的实验中,格里菲斯证明了羊搔痒症可以通过已经完全灭菌的感染脑组织传播,并且,不管它是什么病原体,都能抵抗加温、紫外线和电离辐射的破坏。这使格里菲斯得出了一个大胆的结论:这些疾病不是由传统病原体引起的,而是由一种非常奇怪的异常蛋白质——称为朊病毒(prion)的物质引发的。
不同于细菌、原生生物、真菌或者病毒(视你站在哪个科学争论的立场而定),朊病毒——传染性蛋白颗粒的缩写——实际上并不是活的生物。它们是蛋白质,与构成健康人类和动物体内的蛋白质类型相同。然而,朊病毒就像蛋白质界的化身博士(Dr. Jekyll),是一种形态异常的变种,无法执行其原本的功能。当朊病毒进入体内时,它会附着在另一种正常的相同蛋白质上,使其转变成与朊病毒相同的突变形式。

© Gfycat
这进而引发了致命的连锁反应,逐渐转变并摧毁寄主组织的全部。虽然朊病毒疾病通常是从其他感染的寄主处获得的,但当正常蛋白质突变成恶性形式时,它们也可能自发产生,从而引发相同的转化链式反应。现在,人们通常认为,新几内亚的库鲁病起源于20世纪初,当时一名未知的个体自发患上这种疾病,并通过丧葬习俗逐渐在法雷人中传播开来。
朊病毒在受害者的脑组织中造成海绵状的孔洞,这是使库鲁病、克雅氏症、羊搔痒症等类似疾病得名的原因:传染性海绵状脑病(transmissible spongiform encephalopathies,TSEs)。
如果这个名称你听起来很熟悉,可能是因为朊病毒也是导致牛海绵状脑病(俗称“疯牛病”)的原因。像库鲁病一样,疯牛病也是通过食用感染了疯牛病的动物的神经组织传播的,尽管传播方式有所不同。在20世纪八九十年代,英国爆发了一次大规模的疯牛病,这与动物饲料中使用的肉骨粉(MBM)有关(编者注:肉骨粉导致疯牛病的暴发目前也存在一定争议,有人认为,一种名为phosmet有机磷杀虫剂导致了疯牛病)。肉骨粉是由家畜宰杀后被认为不适合人类食用的部分制成的,包括血液、骨头、蹄、角、皮肤和与疯牛病传播相关的脑组织和神经组织。

感染疯牛病的牛。© Food Safety News
疯牛病严重破坏了英国的畜牧业,导致全世界范围内禁止进口英国牛肉,该疾病造成数百头牛直接死亡,并导致400万头牛被屠宰和焚烧以遏制疫情。更加悲剧的是,有177人因食用受污染的牛肉而感染上了疯牛病的人类变异克雅氏症,所有感染者最终无一幸免。在疫情爆发后,英国禁止使用肉骨粉来喂养牛、绵羊、山羊和其他反刍动物,但它仍然是宠物食品中常见的成分。
虽然人们在十多年前就推测朊病毒的存在,但直到1982年,美国加利福尼亚大学研究员斯坦利·普鲁辛纳(Stanley Prusiner)在实验室中成功地分离出朊病毒,为他赢得了1997年的诺贝尔生理学或医学奖。这一传染病原的发现开辟了传染性疾病研究的全新领域,并引导遗传学家重新思考了基因与蛋白质结构间信息传递的某些假设。一些科学家现在也怀疑阿尔茨海默症可能也是由一种朊病毒引起的,这为治疗这种每年在全球范围内影响多达3000万人的疾病开辟了令人兴奋的新研究途径。
尽管有了这种新的认识,关于库鲁的谜团仍然存在。它是第一种被确认的人类朊病毒疾病。甚至在怀疑习俗传播库鲁病之前,传教士和殖民巡逻官就极力反对这种习俗。到了20世纪60年代,当奥尔珀斯和林登鲍姆开始他们的开创性研究时,法雷人几乎已经放弃了食尸风俗。
然而,库鲁病持续了几十年,1987年至1995年间的死亡人数平均每年为7人。我们现在知道,库鲁病有极长的潜伏期,感染和症状发作之间的时间跨度可以长达3到50年,这导致在食尸风俗被摈弃很长时间后仍然可能会出现病例[6]。事实上,没有任何1960年后出生的人感染了这种疾病,这进一步证实了库鲁与风俗之间的联系。
值得庆幸的是,经过100多年的时间,库鲁疫情终于有可能结束了。最后一例库鲁病患者在2009年去世,截至2010年,没有出现新的病例报告[7]。更令人鼓舞的是,看起来法雷人可能已经对库鲁病产生了免疫力,使他们免受未来疾病的影响。1996年,伦敦大学学院的研究团队对法雷人进行了一项研究[8],发现他们中间普遍存在一个名为G127的基因突变,可以阻止类似库鲁病这样的恶性朊病毒感染大脑。基因分析进一步显示,这个突变最早出现在大约10代人之前。正如伦敦大学学院朊病毒研究组研究员约翰·科林吉(John Collinge)所言:
“看到达尔文的理论在这里发挥作用实在是令人着迷。这个部落人群对于这种可怕的疾病已经发展出了自己独特的生物学防御机制。这种遗传进化发生在短短几十年内,实在令人惊叹。”
对于所有渴望成为汉尼拔·莱克特的人,库鲁病的悲惨案例再次证明了,除了在极端的生存情况下,食人(脑)基本都不是一个明智的选择。最好将你的鹰嘴豆和基安蒂葡萄酒搭配上稍微不那么奇特的食物吧……
参考文献:
[1]link.springer.com/book/10.1007/978-1-4612-4490-5
[2]www.amjmed.com/article/0002-9343(59)90251-7/fulltext
[3]www.ncbi.nlm.nih.gov/pmc/articles/PMC2581657/
[4]www.ncbi.nlm.nih.gov/pmc/articles/PMC2735519/
[5]www.pnas.org/doi/10.1073/pnas.95.23.13363
[6]pubmed.ncbi.nlm.nih.gov/16798390/
[7]royalsocietypublishing.org/doi/10.1098/rstb.2008.0068
[8]www.ncbi.nlm.nih.gov/pmc/articles/PMC4486072/
原文/www.todayifoundout.com/index.php/2023/04/the-gruesome-tale-of-the-laughing-death-epidemic/
本文来自微信公众号:利维坦 (ID:liweitan2014),作者:Gilles Messier,编译:Tim
相关推荐
“笑死病”的恐怖往事
人类最恐怖疾病史:四千年了,我们还能战胜癌症吗?
恐怖的自动驾驶新法
中国保健品往事
苹果手机往事与国产特斯拉的未来
中国搜索引擎往事
BBS 往事:人们在互联网尚未普及之前的“连接”
OV经销商往事
从联发科往事,看山寨之王的5G突围之路
淄博烧烤不涨价的最大底气,是山东恐怖的供应实力
网址: “笑死病”的恐怖往事 http://www.xishuta.cn/newsview84268.html
推荐科技快讯
- 1问界商标转让释放信号:赛力斯 95792
- 2报告:抖音海外版下载量突破1 25736
- 3人类唯一的出路:变成人工智能 25175
- 4人类唯一的出路: 变成人工智 24611
- 5移动办公如何高效?谷歌研究了 24309
- 6华为 nova14深度评测: 13155
- 7滴滴出行被投诉价格操纵,网约 11888
- 82023年起,银行存取款迎来 10774
- 9五一来了,大数据杀熟又想来, 9794
- 10手机中存在一个监听开关,你关 9519
