世界首例猪心脏移植人类,失败原因找到了
本文来自微信公众号:生物世界 (ID:ibioworld),作者:nagashi,编辑:王多鱼,原文标题:《世界首例猪心脏人体移植带来的经验和教训:《柳叶刀》论文阐明移植后患者死亡原因》,头图来自:视觉中国
2022年1月10日,马里兰大学医学院公布了世界首例活人成功植入转基因猪心脏的手术,57岁的心脏病患者大卫·贝内特(David Bennett)接受了一颗经过基因编辑的猪心脏以挽救生命。
但不幸的是,同年3月8日,大卫·贝内特就因病情恶化而不幸去世,这颗转基因猪心脏仅让他的寿命延长了2个月。即便如此,他的家人表示:感谢每一个创新时刻,每一个疯狂的梦想,每一个不眠之夜,感谢每一分努力。希望这个故事成为希望的开始,而不是结束。
虽然2个月的时间并不长,但这已经是异种移植领域的一个巨大成功和里程碑事件。而当下更为重要的是,人类可以从这一次“失败的历史性突破”中学到什么经验教训。
2023年6月29日,负责这项人体移植猪心脏手术的 Bartley Griffith 医生等人在国际顶尖医学期刊《柳叶刀》上发表了题为:Graft dysfunction in compassionate use of genetically engineered pig-to-human cardiac xenotransplantation: a case report 的研究论文。
这项新研究报道了迄今为止最深入的关于世界首例人体猪心脏移植的详细分析,揭示了第一次成功将转基因猪心脏移植到人类患者身上但最终导致心力衰竭的具体原因。
回顾病例,57岁的大卫·贝内特在马里兰大学医学中心接受治疗,手术后近七周,他的心脏功能十分良好,没有明显的急性排斥反应迹象。然而,在心脏移植两个月后,突然发作的心力衰竭导致了他的死亡。从那时起,移植团队一直在对导致心力衰竭的生理过程进行广泛的研究,以确定在未来的移植中可以预防的因素,以提高长期移植的成功几率。
该论文的第一作者 Muhammad M. Mohiuddin 博士表示,我们的论文提供了关于多种因素如何在移植心脏功能衰退中发挥作用的关键见解。我们的目标是在准备涉及猪器官的异种移植临床试验时,继续推动这一领域向前发展。
事实上,在接受心脏移植手术之前,大卫·贝内特已经处于心力衰竭晚期,其生命也即将走到尽头。这时候,他的身体条件已不符合传统心脏移植的要求,最终,美国FDA根据其同情用药条款授权了这项猪心脏移植手术。

手术后的大卫·贝内特(右)图片来自:马里兰大学医学院
论文通讯作者 Bartley Griffith 教授表示,我们决心阐明导致大卫·贝内特心脏移植功能障碍的原因,他志愿成为“世界上第一个接受猪心脏移植”的人,这是一个英勇行为。我们希望下一个病人不仅能在异种器官移植中存活更长时间,而且能恢复正常生活——健康地生活数月甚至数年。
为了更好地了解导致猪心脏移植功能障碍的过程,研究团队对该患者有限的可用组织进行了广泛的测试,仔细地绘制出导致心力衰竭的事件顺序,证明移植后的猪心脏在超声心动图等成像测试中功能良好,直到手术后第47天。

患者所使用的免疫抑制方案
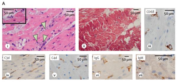
这项研究证实,在移植后的最初几周内,患者的超声心动图显示移植物功能良好,心血管和其他器官系统功能持续,没有出现急性排斥反应的迹象。然而,患者在术后第47天发生舒张性心力衰竭,术后第50天,心内膜活检显示毛细血管受损,伴有间质水肿、红细胞外渗、罕见的血栓性微血管病变和补体沉积。
在这之中,可能有好几个相互重叠的因素导致了患者的心力衰竭,其中包括他在移植前身体健康状况不佳,导致他的免疫功能严重受损。这也限制了在异种移植临床前研究中有效的抗排斥方案的使用,因此患者可能更容易受到免疫系统产生的抗体对器官的排斥。此外,研究团队还发现了基于组织学,免疫组织化学染色和单细胞RNA分析的抗体介导排斥反应的间接证据。

不同时间点心内膜活检的组织病理学和免疫组织化学评价
静脉注射免疫球蛋白(IVIG)也可能导致心肌细胞受损。在移植后的第二个月,大卫·贝内特被注射了两次这种药物,以帮助预防感染,这也可能引发针对猪心脏的免疫反应。对于这一点,研究团队发现了针对猪心脏血管内皮层的免疫球蛋白抗体的证据。其中,低丙种球蛋白血症在IVIG给药后和第一次血浆交换期间检测到抗猪异种抗体增加,主要是IgG。术后第56天,他的心内膜活检显示与进行性心肌僵硬一致的纤维化改变。

IVIG与猪主动脉内皮细胞的结合和细胞毒性
最后,这项新研究调查了猪心脏中一种被称为猪巨细胞病毒(PCMV)的潜伏病毒的存在,这种病毒可能导致移植功能障碍。病毒的激活可能是在患者减少抗病毒治疗方案以解决其他健康问题之后发生的。这可能引发了引起细胞损伤的炎症反应。然而,没有证据表明病毒感染了病人或扩散到心脏以外的器官。对此,研究团队已经开发了改进的PCMV检测方案,用于灵敏地检测和排除潜伏病毒,以便将来进行异种移植。

供体和受体的PCMV调查
总而言之,这项研究详细分析了导致世界首例猪心脏移植人类患者死亡的病因,从中吸取到宝贵的经验教训,这将更好地为未来的异种器官移植提供信息和依据。在未来,外科医生和科学家们将利用新设计的免疫细胞检测方法,在异种移植后的几天、几周和几个月内更精确地监测患者。这将更严格地控制最初的排斥迹象,并有望实现真正挽救生命的创新。
参考资料:
https://www.thelancet.com/journals/lancet/article/PIIS0140-6736(23)00775-4/fulltext
https://medicalxpress.com/news/2023-06-lessons-genetically-pig-heart-transplanted.html
本文来自微信公众号:生物世界 (ID:ibioworld),作者:nagashi,编辑:王多鱼
相关推荐
世界首例猪心脏移植人类,失败原因找到了
“移植了猪器官还是人么?”想这个问题前,我们先感谢猪吧
首例猪心移植患者去世:猪心跳动两个月,他经历了什么?
猪器官移植:“二师兄”会成为人类的救世主吗?
知料 | 猪肾成功植入人体,但器官移植新时代还远未到来
术后约2个月,全球首位“猪心移植”患者离世,术前曾说:要么死,要么做移植
头部移植的诡异历史
替代心脏移植,人工心脏研发企业「同心医疗」获蓝帆医疗1亿元投资
世界首次用AI成功克隆猪,南开大学做到了
8点1氪 | 热门中概股集体大跌;苹果1.8米连接线售价949元;全球首位猪心脏移植病人术后两个月死亡
网址: 世界首例猪心脏移植人类,失败原因找到了 http://www.xishuta.cn/newsview81371.html
推荐科技快讯
- 1问界商标转让释放信号:赛力斯 95792
- 2报告:抖音海外版下载量突破1 25736
- 3人类唯一的出路:变成人工智能 25175
- 4人类唯一的出路: 变成人工智 24611
- 5移动办公如何高效?谷歌研究了 24309
- 6华为 nova14深度评测: 13155
- 7滴滴出行被投诉价格操纵,网约 11888
- 82023年起,银行存取款迎来 10774
- 9五一来了,大数据杀熟又想来, 9794
- 10手机中存在一个监听开关,你关 9519
