狂犬病病毒,是如何一口一口“吃掉”你大脑的?
本文来自微信公众号:瞻云(ID:zhanyun2028),作者:瞻云,题图来自:视觉中国
网友提问:狂犬病发病后,真的完全不能存活吗?
描述:一位朋友告诉我,我亲戚里有一位曾经被咬伤并且狂犬病发作却存活的人,而且活得好好的。他不是一位会轻易开玩笑的人,所以我想问一下,世界上是否有其他狂犬病发病并存活的案例。
不能,因为狂犬病一口一口“吃掉”了你的大脑。
狂犬病这种病毒,恶毒就恶毒在专噬神经。
而且它十分的狡猾,刚刚被咬的时候,狂犬病毒就潜伏在肌肉细胞里偷偷繁殖,甚至能躲过免疫系统。
一旦复制到了足够多的数量,病毒就会与神经肌肉接头位置的乙酰胆碱受体结合,然后通过神经细胞轴突,向神经元胞体行进[1]。
这是人体的神经网络:

反射神经元的胞体主要都在脊髓中,轴突为主体的神经纤维就像一条条高速通道,狂犬病毒在神经轴索上的传播速度为5-100mm/d,平均为3mm/h。
对于不依赖体液系统传播,这算是相当快了。
这意味着同一个人、同样的病毒感染量,咬伤的位置距离中枢神经越近发病越快,越远发病越慢。
假如,一个人被咬伤的病毒停留期都是7天,他脖子被咬伤,病毒传播3天后发病,总计10天。那么同样的条件,咬伤在脚踝,他则可能在1个月后发病。
狂犬病这样的感染机制,让远离中枢神经的小伤口很容易被人忽视。

小伤口感染的狂犬病毒并不多,增殖速度慢,再加上远离中枢神经,往往具有较长的潜伏期,尤其是一个人免疫系统能稍微抗衡时,潜伏期可长达数年。多年前的小伤口谁还记得,一发病,直接就玩完了。
潜伏期
通常来说,狂犬病潜伏期通常1~3月[2],但如果面部咬伤,且感染病毒多,免疫力低,潜伏期可低至7天以下,最少记录为4天。
狡猾的狂犬病毒,一开始也并不会直接进入脊髓的神经元胞体中,而是会在背根神经节中“枕戈待旦”,进行大量的疯狂增殖。

等到积攒到足够大的规模后,它们才会进入脊髓中,这也意味着它们正式进入了中枢神经系统。
在中枢神经系统内,狂犬病毒就直接开启了“狂暴”模式。
通过脊髓,它们将十分迅速地到达小脑和大脑。
大脑被攻击,也意味着狂犬病病发了。
当病毒在中枢神经内的数目达到一定的程度,便会开始影响神经的基本生理功能,表现出一定的症状,被称为前驱期。

患有狂犬病的病犬
前驱期
前驱期症状不一,但主要有头痛、发热、疲倦、恶心、食欲不振、全身不适等一系列症状,喉咙出现紧缩感,往往对声音、光线、风等外界刺激十分敏感。
50%~80%的患者,会因为病毒在伤口附近大量繁殖,已经愈合的伤口处存在麻木、发痒等虫类爬行(蚁行感),甚至刺痛的感觉。
前驱期通常只有2~4天,不超过10天。
当狂犬病在中枢神经中进行大量繁殖,大肆破坏神经结构,则进入了兴奋期。

兴奋期
病毒进入脑干、小脑,患者会因为中枢神经被破坏,开始精神错乱,极度恐惧不安,出现幻觉、谵妄、幻听等症状。典型的怕水、怕风、怕光、怕声,便是出现在这一时期。
狂犬病毒在中枢神经灰质中大量繁殖后,还会通过神经下行,传向其它各处,例如口腔、眼、鼻、心、肺等等。
神经网络是一个整体,理论上来说,狂犬病毒可以顺着神经系统,传遍身体的各个角落。

狂犬病毒对神经元的破坏,致使患者的迷走神经核、舌咽神经核及舌下神经核受损,当看到水或者听到水声时,便会引起强烈的呼吸道保护性反射,造成长达5分钟的呼吸肌、吞咽肌痉挛,引起极大的痛苦。
恐水症出现率为80%。轻度时声音嘶哑,吐字不清,重度则可能出现窒息死亡。
因为交感神经受损,唾液和汗液分泌会增多,引起身体缺水口干舌燥。但又因为恐水,整个人处在一个极度痛苦的煎熬中。
因为体温调节机制破坏,还会出现高烧,引起脱水。

被咬后,疫苗是目前预防狂犬病的唯一方法
心脏神经节的损坏,则会出现心血管功能紊乱甚至引起猝死。
随着狂犬病毒不停地繁殖破坏,中枢神经的受损程度增加,影响到大脑皮层,患者的各项认知能力都会开始退化。
患者往往面部表情扭曲,躁动不安,经常失控发狂,大口大叫,甚至出现自残行为。
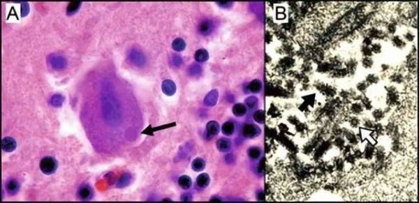
此时可能出现急性弥漫性脑脊髓炎,大脑基底面、海马体,以及脑干和小脑,都有了极其明显的病变——出现嗜酸性包涵体(也即,内基氏小体Negri bodies)[3]。

内基氏小体是一种硬壳小体,内为狂犬病毒集落。存在于细胞浆内,3~10μm大小。
大部分患者,在这个时期,可随时死于中枢神经、呼吸、心脏衰竭,以及高血压或大型中风。
随着大量的病毒通过神经网络,传遍人体各个组织器官,人体载毒量也达到了巅峰。
病毒大量出现在唾液等分泌物中,具有极高的传染性。
进入兴奋期之后,已基本没有了什么治疗的可能,通常持续1~3天。
随着患者抽搐停止,则进入了感染的末期——麻痹期。
麻痹期
和兴奋期的激烈不同,末期的狂犬病患者往往更为安静,或者出现昏迷状态。
也可出现短暂好转迹象,甚至恢复一定的意识。
但短短数个小时之后,意识便会再次模糊,出现各种瘫痪症状,然后呼吸和心跳很快转弱。皮肤会因为失去血色而呈现湿冷的花纹状,指端则因为失血呈现青灰色。
患者鼻腔流出咖啡色液体,很快死于呼吸、循环系统等全身性的各类衰竭。
持续时间,仅仅6~18小时。
狂犬病之所以这么可怕,在于它对神经的破坏,以及发病期带来的高死亡率。
虽然狂犬病毒自身并不顽强,甚至可以用脆弱来形容,它对光、热、紫外线,以及干燥、有机溶剂的抵抗力都较弱,不说强酸、强碱,哪怕使用常见的甲醛、酒精,甚至肥皂水,以及一些消毒剂或者去污剂都能进行灭活处理。[4]
但因为病毒“狡猾”地藏于犬只为首的其它动物身体中,令人防不胜防。
疫苗打得越及时,阻断效果越好,但最晚不能超过前驱期。进入兴奋期之后,基本就没有什么治疗可言。
当前国际上,的确存在数例病发后治好的案例,其中以密尔沃基疗法最为著名。
该疗法,通过诱导昏迷,进行抗病毒治疗。诱导昏迷的状态下,可以限制病毒传播速度,令大脑得到更多的保护,延长存活时间。
存活时间延长之后,便有可能让身体有足够多的时间来产生抗体。然后再用一系列的狂病毒药物进行处理,等到免疫系统有足够的反应之后,再把患者唤醒。
但也有观点认为,密尔沃基疗法当初治疗成功的小女孩,首先感染的是蝙蝠携带的狂犬病毒,“毒性”较弱。其次,女孩的康复,可能主要受益于自身的免疫系统。
而且,密尔沃基疗法几乎没有复制性,犬类传染的狂犬病例,病发患者无一存活。
总的来说,狂犬病病发死亡率依旧几乎100%,当前任何存活的,都是不可复制的个例。
目前任何声称能治愈,已经发病的犬类狂犬病的方案,都属于智商税。
参考文献:
[1] Gluska S, Zahavi EE, Chein M, Gradus T, Bauer A, Finke S, Perlson E. Rabies Virus Hijacks and accelerates the p75NTR retrograde axonal transport machinery. PLoS Pathog. 2014 Aug 28;10(8):e1004348.
[2] Giesen, A, Malerczyk, et al. 30 years of rabies vaccination with Rabipur: a summary of clinical data and global experience (vol 14, pg 351, 2015)[J]. Expert review of vaccines, 2015.
[3] Nikolic J, Lagaudrière-Gesbert C, Scrima N, Blondel D, Gaudin Y. Structure and Function of Negri Bodies. Adv Exp Med Biol. 2019;1215:111-127.
[4] Wunner J . Rabies:scientific basis of the disease and its management[M]. Elsevier/Academic Press, 2013.
本文来自微信公众号:瞻云(ID:zhanyun2028),作者:瞻云
相关推荐
谁来赏你一口饭
A股TMT行业就剩一口气了?
新冠病毒对大脑的影响,你知道吗?
B站启动《三体》动画,刘慈欣期待“倒吸一口凉气”
一口牙套2万起,这门生意有多暴利?
这届年轻人看不起牙了:最高8万一颗,一口牙等于一辆宝马
你的主子,为什么只有洋疫苗可打?
从“一口小米粥”到世界500强,小米的全球化“简史”
从一件亲历小事对比中美卫生体系 | SaaS创业路线图 (73)
VC/PE投资,需要政策“奶一口”
网址: 狂犬病病毒,是如何一口一口“吃掉”你大脑的? http://www.xishuta.cn/newsview81368.html
推荐科技快讯
- 1问界商标转让释放信号:赛力斯 95792
- 2报告:抖音海外版下载量突破1 25736
- 3人类唯一的出路:变成人工智能 25175
- 4人类唯一的出路: 变成人工智 24611
- 5移动办公如何高效?谷歌研究了 24309
- 6华为 nova14深度评测: 13155
- 7滴滴出行被投诉价格操纵,网约 11888
- 82023年起,银行存取款迎来 10774
- 9五一来了,大数据杀熟又想来, 9794
- 10手机中存在一个监听开关,你关 9519
