真实还是虚构,大脑如何辨别?
本文来自微信公众号:神经现实 (ID:neureality),作者:Saplakoglu,译者:ChatGPT & 光影,审校&编辑:老司橘,题图来自:《预见未来》
“这是真实的生活吗?亦或只是幻想?”这句出自皇后乐队(Queen)的歌曲《波希米亚狂想曲》(Bohemian Rhapsody)的歌词,也许蕴藏着更多奥秘——大脑必须不断地回答这个问题,才能正确地处理来自眼睛的视觉信号,以及纯粹源于想象的心理图像。多项大脑扫描研究已经证实了真实地看见某物,和单纯地想象它所引发的神经活动模式极其相近。然而,对我们多数人来说,两者产生的主观体验却迥然不同。
明尼苏达大学的副教授托马斯·纳瑟拉里斯(Thomas Naselaris)表示:“我现在可以望向窗外,我还可以随心所欲地想象一只独角兽正在街头漫步。”街道会看起来很真实,而独角兽则不会。他说:“我会非常确定这一点。”这种真实与虚构的差异,并非是由于独角兽是一种神话生物:即使是简单地想象出一匹白马,也并不会显得更真实。
“所以我们为何不会时常陷于幻觉之中呢?”伦敦大学学院的博士后研究员纳丁·戴克斯特拉(Nadine Dijkstra)发问。她主导的一项新研究最近发表在《自然-通讯》(Nature Communications)期刊上,这项研究为上述问题提供了一个引人入胜的答案:大脑会根据一个“现实阈限”来评判所处理的图像,若信号超过阈限,大脑便认为它是真实的;若未过阈限,则大脑判断为想象。

Dijkstra, N., Fleming, S.M. Subjective signal strength distinguishes reality from imagination. Nat Commun 14, 1627 (2023). https://doi.org/10.1038/s41467-023-37322-1
“在我看来这是一份出色的工作,数个世纪以来,哲学家们在这一问题上争论不休,而这篇论文的研究者定义了具有可预测结果的模型,并对之进行了测试。”——托马斯·纳瑟拉里斯,明尼苏达大学
这样的系统在大多数情况下表现良好,因为想象中的信号通常较弱。然而,若想象中的信号强烈到足以超过这个阈限,大脑便会将之视为现实。尽管大脑很擅长评价想象的心理图像,但格拉斯哥大学视觉和认知神经科学教授拉尔斯·穆克利(Lars Muckli)表示:“这种现实检查似乎是一个严峻的挑战。”
这项新发现引发了这样一个问题:即这个系统的变化或改变,是否可能导致幻觉、侵入性思维甚至梦境的出现。纳瑟拉里斯说道:“在我看来这是一份出色的工作,数个世纪以来,哲学家们在这一问题上争论不休,而这篇论文的研究者定义了具有可预测结果的模型,并对之进行了测试。”
感知与想象的混叠
戴克斯特拉关于想象图像的研究,开始于COVID-19疫情初期,当时的隔离与封锁措施打破了她既定的工作进程。在无聊的驱使之下,她开始翻阅有关想象力的文献,然后投入数小时去整理论文中关于科学家们如何检验此抽象概念的历史叙述。这使得她发现了心理学家玛丽·切维斯·韦斯特·珀基(Mary Cheves West Perky)在1910年进行的一项研究。
珀基让参与者在凝视空白墙壁时想象各种水果,与此同时,她悄悄地将那些水果的极微弱的图像(几乎观察不到)投影到墙上,然后询问参与者们是否能看见任何东西。被试们并不认为自己看见了实实在在的东西,尽管他们报告说他们想象中的图像似乎格外清晰。一名参与者表示:“如果我不知道这只是我自己的想象,我会以为它是真实的。”

心理学家玛丽·切维斯·韦斯特·珀基在1910年的一项研究发现,当我们的感知与想象相吻合时,我们会认为它们的输入是虚构的。https://doi.org/10.2307/1413350
珀基的结论是,当我们对某物的感知与我们明知自己正在想象的相符时,我们会认为它是虚构的。这最终在心理学领域被称为珀基效应。“这项研究堪称经典。”安特卫普大学的哲学心理学教授贝奇·纳奈(Bence Nanay)如是说,“凡是与想象相关的研究必然会提及珀基的实验”,仿佛是不成文的规矩。
在20世纪70年代,心理学研究员悉尼·乔尔森·西格尔(Sydney Joelson Segal)改进了珀基的实验,再次引起了人们对珀基研究的关注。在一项后续研究中,西格尔让参与者想象某物(如纽约市的天际线),同时在墙上模糊地投影出另一样东西(如番茄)。参与者所看到的是想象中的图像与真实图像的融合,例如黄昏时纽约市的天际线。西格尔的研究结果表明,感知与想象有时会“相当直接地混合重叠”。
然而,并非所有尝试复制珀基研究结果的实验都能取得预期的成功。有些实验涉及参与者的重复试验,这就使得结果变得难以解释:一旦人们明白你究竟想要测试什么,他们就会倾向于将答案修改成他们认为是正确的。
因此,在伦敦大学学院的元认知学专家史蒂夫·弗莱明(Steve Fleming)的指导下,戴克斯特拉设计了一种能够避免这种问题的现代化实验。在他们的研究中,参与者没有机会修改答案,因为他们只进行了一次测试。这项研究旨在模拟并检验珀基效应,以及检验其他两个关于大脑如何区分现实与想象的竞争假设。
评估网络
其中一种替代假设认为,大脑在处理现实与想象时使用的是同一套网络,但是由于功能性磁共振成像(fMRI)脑扫描的分辨率不够高,导致神经科学家们无法辨识出网络活动模式的差异。例如,穆克利的一项研究指出*,在大脑的视觉皮层(负责处理图像的区域),与真实体验相比,对想象中的体验的编码发生在更浅层。
克利说:“在进行功能性脑成像时,我们能够观察到的信息是有限的。”脑扫描中的每一个像素中包括大约一千个神经元,我们无法看到每一个神经元的活动。另一个由新南威尔士大学的乔尔·皮尔森(Joel Pearson)领导的研究提出的假设是,大脑中的同一条通路编码了想象和感知,但想象只不过是感知的一种较弱的形态*。
*译者注:穆克利的研究:Bergmann, Johanna, Andrew T. Morgan, and Lars Muckli. "Two distinct feedback codes in V1 for ‘real’and ‘imaginary’internal experiences." BioRxiv (2019): 664870.
想象只不过是感知的一种较弱的形态:Pearson, Joel. "The human imagination: the cognitive neuroscience of visual mental imagery." Nature reviews neuroscience 20.10 (2019): 624-634.
在疫情封锁的笼罩之下,戴克斯特拉与弗莱明发起了一项在线研究。400位参与者被要求观察一系列充满静电效果的图像,并试图在心中描绘一条向右或向左倾斜的对角线。在每一次实验尝试之间,他们需要用一到五的评分,去衡量他们想象中的图像的生动程度。然而参与者们并不知道,在最后一次实验中,研究人员悄悄地增加了一幅图像的清晰度,其中模糊对角线的方向要么与参与者想象的方向相符,要么则相反。紧接着,研究人员询问参与者他们所看到的是真实的还是想象的。
“生动的想象更接近于感知,但模糊的感知是否更近似于想象,这一点我们还不清楚。”——纳丁·戴克斯特拉,伦敦大学学院
戴克斯特拉原本预想会发现珀基效应——即当想象中的图像与投射出的图像吻合时,参与者会将投射视为自己想象的产物。然而,事实上,参与者更偏向于认为图像是真实存在的。尽管如此,这些结果在某种程度上还是印证了珀基效应:那些认为图像存在的参与者所看到的,要比那些认为一切都是想象的参与者所看到的更生动。
在第二轮实验中,戴克斯特拉及其团队在最后一次实验中并未展示任何图像。但是,结果却仍旧相同:那些对所看到的内容给予较高评分的人,也更有可能认为它是真实的。戴克斯特拉说,我们观察到的结果表明,我们的脑海中的想象与现实中感知到的图像,确实是混叠在一起的。她认为,当这种混合信号足够强烈和生动时,我们就会认为它反映了现实。大脑将视觉信号视为现实还是想象,很可能存在某种阈限。但她同时也提出,可能存在一种更为渐进的连续过程。
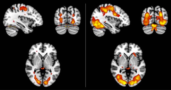
为了深入理解大脑,区分现实与想象的内在机制,研究人员重新分析了此前一项脑部扫描的研究数据,其中35名被试对各种图像,如浇水壶和公鸡等,进行了生动的想象和真实的感知。他们的发现与其他研究结果相符,即在两种情形下视觉皮层中的活动模式极其相似。戴克斯特拉指出:“生动的想象更接近于感知,但模糊的感知是否更近似于想象,这一点我们还不清楚。”有迹象表明,观看模糊图像可能会产生类似于想象的模式,但差异并不显著,这一现象仍需进一步的研究。

扫描结果显示,无论是想象的还是感知的图像,都触发了类似的大脑活动模式,但是对于想象中的图像(图左),信号相对较弱。Nadine Dijkstra
毋庸置疑的是,大脑必须能够精准地调节心理图像的强度,来避免幻想与现实相互混淆。纳塞拉里斯认为:“大脑必须执行这个非常微妙的平衡行为。从某种程度上讲,它会以与视觉形象相同的方式解读心理形象。”
他们发现,信号的强度可能会在前额皮质(这一脑区负责分析情绪和记忆及其他任务)中被读取或调整。但是,什么因素决定了心理图像的生动程度,以及图像信号强度与现实阈限之间的差距,我们目前还不清楚。纳塞拉里斯推测,这可能与神经递质、神经元连接的变化,或者其他完全不同的因素有关。甚至可能存在一组尚未发现的神经元子集,这些神经元负责设定现实阈限,并决定信号应该被引导至心理图像的路径还是真实感知图像的路径——如果能发现这些神经元,那么就和第一和第三个假设完美地联系了起来。
尽管这些(关于前额皮质的)发现与他自己的研究结果不同(他支持第一种假设),但穆克利对他们的推理逻辑表示赞赏。他认为这是一篇“令人振奋的论文”,得出了“有趣的结论”。
然而,彼得·泽(Peter Tse)——达特茅斯学院(Dartmouth College)的认知神经科学教授认为,想象是一项涉及甚广的过程,远超于在杂乱无章的背景中观察几条线。他提到,想象就像是在你的厨柜里翻找什么可以做晚餐的材料,或者(假如你是莱特兄弟)拿起一个螺旋桨,将其安装在机翼上,想象它正在飞翔。
珀基的研究成果与戴克斯特拉的研究结果之间的出入,有可能是由于实验设计的不同。然而,这些结果的差异也提示存在另外一种可能性:我们可能与我们的祖先在感知世界的方式上有所差异。
戴克斯特拉指出,她的研究并未关注图像的现实性信念,而是更偏向于现实的“感觉”。作者们推测,由于21世纪的投影图像、视频和其他的现实表现方式对人们来说已经司空见惯,我们的大脑可能学会了用与一个世纪前的人们略有不同的方式来评估现实。“即使在这个实验中,参与者们没有期待看到什么,但这仍然比你在1910年生活中从未见过投影仪的情况更具预期性。”戴克斯特拉解释道。因此,今天的现实阈限可能比过去更低,所以可能需要让想象中的图像更加生动才能通过阈限,让大脑感到困惑。
幻觉的基础
这些发现引发了一个问题,即这种机制是否适用于广泛的条件,而在这些条件下,想象和感知之间的界线开始模糊。例如,戴克斯特拉推测,当人们开始昏昏欲睡,现实与梦境开始交融时,他们的现实阈限可能在降低。在像精神分裂症(schizophrenia)这样的“现实崩溃”的情况下,可能存在着(显示阈限的)调节问题,戴克斯特拉说。
“在精神病的情况下,可能是他们的形象细节如此丰富,以至于能达到阈限,也可能是由于他们的阈限设定得不正确。”阿德尔菲大学心理学助理教授卡洛琳娜·莱姆珀特(未参与此项研究)说道。一些研究发现,幻觉患者身上存在感官过度活跃的现象,这表明图像信号已经增强*。然而,她补充道,需要进行更多研究以确定幻觉产生的机制。“毕竟,大多数拥有生动想象力的人并不产生幻觉。”
*译者注:Dijkstra, Nadine, Peter Kok, and Stephen M. Fleming. "Perceptual reality monitoring: Neural mechanisms dissociating imagination from reality." Neuroscience & Biobehavioral Reviews (2022): 104557.
纳奈指出,那些患有所谓的“超想象力症”(Hyperphantasia)的人的现实阈限,可能会有更多的研究价值,这些人往往会将现实与非常生动的想象混淆。同样,人们在某些情况下,可能会经历非常强烈的想象体验,尽管他们知道这并非现实,比如在吸毒或进行清醒梦境(Lucid Dreaming)中产生的幻觉。
在一些情况下,如创伤后应激障碍(PTSD),人们常常“开始看到他们不想看到的东西”,这些东西比实际的现实感觉起来更真实,戴克斯特拉如是说。这些问题可能涉及到大脑用来区分现实与想象的机制的失灵。戴克斯特拉提出,研究患有“无想象力症”(Aphantasia)的人(无法有意识地想象心理图像的能力)的现实阈限可能会更有启发性。
大脑如何区分现实和想象的机制,也可能与其如何区分真实和虚假(不真实)图像有关。在模拟现实越来越接近现实的世界中,区分真实和虚假图像将变得越来越具挑战性,莱姆珀特表示。“我认为这也许比以往任何时候都是一个更重要的问题。”戴克斯特拉和她的团队正在为了在脑部扫描仪中采集数据而努力调整实验。她说:“现在疫情封锁结束了,我想继续观察大脑。”
她最终希望弄清楚,他们是否可以操纵这个系统来使想象力更加真实。例如,目前正在研究虚拟现实和神经植入物作为医学治疗,比如帮助失明人恢复视力。她说,使经历变得更加真实或更不真实的能力对于这些应用可能非常重要。这并非无稽之谈,毕竟现实本身也是由大脑构造出来的。
穆克利说:“在我们的头盖骨下,一切都是虚构的。我们完全构建了这个世界,包括它的丰富性、细节、颜色、声音、内容和激动人心的场景……这都是我们的神经元创造的。”这意味着一个人的现实会与另一个人的现实不同,戴克斯特拉说:“想象与现实之间的界限并不那么坚实。”
后记
老司橘:这项研究的话题非常有意思,我非常期待未来能有研究在神经环路上和分子层面上继续讨论这一问题,以及一些神经类药物如何对其产生影响。另外,如果研究者对于现代人的现实阈限发生了变化的假设成立的话,也就表明了这一阈限的可塑性。这一领域的研究一方面因为有趣而引人入胜,另一方面可能帮助我们更好地去理解与想象力和现实感相关的障碍的发生机理。
原文:https://www.quantamagazine.org/is-it-real-or-imagined-how-your-brain-tells-the-difference-20230524/
本文来自微信公众号:神经现实 (ID:neureality),作者:Saplakoglu,译者:ChatGPT & 光影,审校&编辑:老司橘
相关推荐
大脑控制、真实触觉,“科幻”假肢已经变成现实
正午解散、影视化遭遇狙击,非虚构写作的内外困局
你阅读的每一本书,你的大脑都有回应
大脑如何区分自我与他人?
如何克服对大脑最不利的7个习惯
生孩子如何塑造父母的大脑?
为什么说大脑不是电脑?(上)
我们的大脑,足以理解大脑本身吗?
大脑如何区分记忆和感知?
大脑如何产生情绪和欲望?
网址: 真实还是虚构,大脑如何辨别? http://www.xishuta.cn/newsview79091.html
推荐科技快讯
- 1问界商标转让释放信号:赛力斯 95792
- 2报告:抖音海外版下载量突破1 25736
- 3人类唯一的出路:变成人工智能 25175
- 4人类唯一的出路: 变成人工智 24611
- 5移动办公如何高效?谷歌研究了 24309
- 6华为 nova14深度评测: 13155
- 7滴滴出行被投诉价格操纵,网约 11888
- 82023年起,银行存取款迎来 10774
- 9五一来了,大数据杀熟又想来, 9794
- 10手机中存在一个监听开关,你关 9519
