是谁杀死了美国国鸟?
本文来自微信公众号:果壳(ID:Guokr42),作者:阳光彩虹小白马,编辑:麦麦、窗敲雨,题图来自:Wikipedia
1994 年冬,短短 50 天内,29 只白头海雕在美国的德格雷湖周围意外死亡。一年后的冬天,在同一个地点,又有 26 只白头海雕非正常死亡。
死亡持续蔓延,甚至扩散到了同地区的其他鸟类身上。更加诡异的是这些鸟类死亡之前的样子:它们仿佛突然被奇怪的东西附了身,再也无法正确控制自己的身体,飞着飞着就径直撞向岩石峭壁。

白头海雕(Haliaeetus leucocephalus)是美国的国鸟,美国国徽正面的那个猛禽图案就是它。| Andy Morffew / Wikimedia Commons
在失控鸟类的大脑中,人们发现了以往从未见过的奇怪病变:它们的脑髓白质中出现了大大小小的圆形空泡。
到底是谁杀死了美国国鸟——科学家试图追击真凶,但直到 25 年后,谜底才终于解开。
离奇死亡不断扩散
这两次白头海雕大规模死亡的事件,都发生在德格雷湖及其周边地区。这是一个有着 22 年历史的大型人工湖,位于美国南部的阿肯色州。由于事发突然,前两次的事件并没有任何详细的尸检报告。

2014年也有白头海雕发生了类似的离奇死亡 | Mitch Lane / Utah Division of Wildlife Resources
就在科学家为白头海雕的死因发愁时,他们发现,这种离奇死亡现象,甚至扩散到了同地区的其他鸟类身上。1996 年 3 月,阿肯色州内的鹰群出现了反常的生理行为,它们飞出栖息地,直接撞向岩石峭壁;有 3 只获救的鹰都在 24 小时内死亡。
美洲骨顶鸡也被观测到了一系列异常举动:它们疲于飞行,肢体不协调,在飞行时摇摇晃晃,行走时也步伐蹒跚。科学家试图对美洲骨顶鸡的怪异行为进行探究,结果却以失败告终。
一种从未见过的大脑疾病
1996 年末,24 只白头海雕的尸体被送往野生动物保护中心进行检测。研究人员发现,这些死亡的白头海雕身体情况十分良好,它们胸肌发达,皮下脂肪也很充裕;但它们的胃里空空如也,只有一些恶心的绿色粘稠液体,偶尔混合着灰色的羽毛,这表明,这些死亡的白头海雕在死亡之前,已经有一段时间没有进食了。
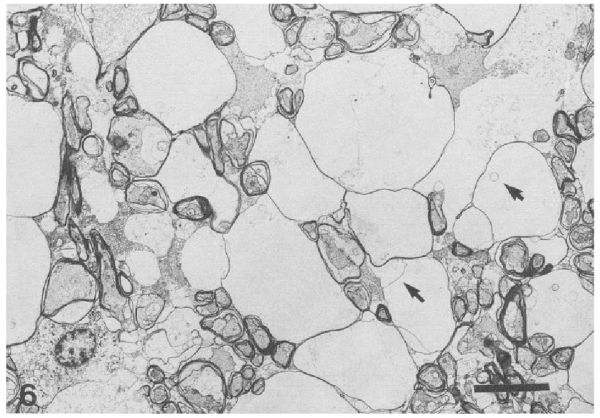
最惊人的发现,藏在白头海雕的大脑中——所有死亡的白头海雕,其脑髓白质中都出现了大大小小的圆形小泡,有的独立出现,有的则是像一串葡萄一样串联在一起。这些泡泡多数是中空状态,极少数能观察到里面残留的膜结构碎片。

箭头所示为脑髓中出现的空洞 | 参考资料[2]
这是一种从未出现过的奇怪的大脑病症,科学家后来将其命名为“空泡性髓鞘病”(Vacuolar Myelinopathy)。从那些出现了病例的水库中,研究者回收了沉积物和死鸟尸体,进行了初步化学分析。结果却发现,当时已知的会诱发哺乳动物和鸟类类似疾病的化合物,例如六氯酚、三乙基锡或溴甲苄灵,都未能在这些样本中被检测到。
换言之,诱导这种新疾病的,是一种全新的未知物。
追踪真凶,一波三折
无法直接找到引发死亡的物质,研究人员只好回到这起横跨好几年的禽类突发性死亡事件本身。进行全方位回溯后,他们发现了几个特征:几乎所有鸟类的死亡都发生在冬季,最早发现的死亡病例均在德格雷湖周边,并且,这些死亡的物种似乎在食物链上存在相关性——美洲骨顶鸡正是白头海雕的食物之一。
感染疾病的美洲骨顶鸡行动异常,更容易被捕食;白头海雕本身又有食腐的习性,很有可能吃到感染而死的猎物。当研究人员将染病死亡的动物喂养给健康动物,包括两栖动物、爬行动物和鱼类在内的各种生物均能被感染。这说明,该疾病有可能是通过食物链进行传播的,白头海雕可能是吃到了生病的美洲骨顶鸡才暴毙身亡。
以食物链为线索,科学家们找到了“1号嫌疑人”——黑藻。这是德格雷湖中一种常见的水生植物,在上世纪中叶被引入美国,是一种外来入侵物种。它的生长速度很快,在人工水体中含量极为丰富,是鱼类和一些食草性鸟类的食物之一。冬季食物匮乏,聚集在黑藻池中的素食捕猎者,成功吸引了越冬的白头海雕。

黑藻(Hydrilla verticillata)| Yercaud-elango / Wikimedia Commons
然而,黑藻是鸟类杀手这一推测存在不足。虽然所有鸟类感染的病例,都出现在有黑藻生长的水域;但却不是所有黑藻富集区,都出现了鸟类死亡现象。
2005 年,乔治亚大学的教授苏珊·王尔德(Susan Wilde)发现了“2号嫌疑人”——黑藻叶子上的一种以前未知的蓝细菌(Aetokthonos hydrillicola)。他们发现,只有在这种蓝细菌侵入黑藻的地方,才会出现鸟类感染空泡性髓鞘病的状况。这样看来,这种蓝细菌似乎才是诱发空泡性髓鞘病的真正病因。

通过荧光显示的黑藻叶片上的蓝细菌菌落 | Susan Wilde
案件调查到这里,科学家以为自己找到了真凶。可当他们满怀希望地将案发地的蓝细菌带回实验室时,却遗憾地发现,在实验室里培养的这种蓝细菌,并不能让鸟类生病。新的希望突然破灭,事件似乎又进入了一个死胡同。“不仅鸟儿疯了,我们也快疯了。”王尔德教授如是说。
真凶到底是谁?
直到 2011 年,研究小组的博士生史蒂芬·布莱因林格(Steffen Breinlinger)在蓝细菌附生的黑藻上发现了一种新的物质,事件才又一次出现了转机。这种物质被研究者称为 AETX(aetokthonotoxin,取自希腊语“杀死鹰的毒药”),是一种五溴化双吲哚生物碱,其化学结构中含有 5 个溴原子;而蓝细菌的标准培养基不含溴,所以实验室培养的蓝细菌不能产生这种代谢物。

AETX含有5个溴 | 参考资料[1]
当他们额外在培养基中添加了溴以后,蓝细菌成功地产生了该种含溴的代谢物;直接用这种物质进行感染实验,也成功地让鸟类出现了空泡性髓鞘病。在患上空泡性髓鞘病的美洲骨顶鸡体内,研究者也发现了 AETX;这种物质可以从消化道被吸收,并在水禽体内累积。
在对 AETX 的化学结构、生物合成、生物活性等特点进行研究之后,研究者不久前在《科学》杂志发表论文,证明这种蓝细菌代谢毒素 AETX,是造成白头海雕等诸多鸟类死亡的真正凶手。从 1994 年的白头海雕神秘死亡案件开始,到随后一系列生物大规模死亡事件,至此终于有了一个科学的解释。

德格雷湖 | Armyman / Wikimedia Commons
然而,这个真凶的周围仍然迷云笼罩——在自然条件下,蓝细菌为什么会合成这种富含溴元素的代谢毒素?水体中的溴从何而来?
调查显示,这种代谢毒素的产生可能是多种条件综合诱导的结果。一种用于对抗入侵黑藻的除草剂很可能起了关键作用,因为它含有溴化物,可能刺激了蓝细菌毒素的产生。此外,季节性的温度降低也会诱导蓝细菌产生代谢毒素;人工湖周围的发电厂、随意排出的处理不彻底的工厂废水等人类社会活动因素,都有可能加剧诱导该毒素的产生。
时隔 25 年,造成鸟类大脑疾病的真凶 ATEX,终于被科学家揭开了它神秘的面纱。站在真相的尽头,回望 1994 年的冬天,在那个充斥着黑藻的德格雷湖,人类本想消灭入侵的水生植物,却阴差阳错地造成了一场鸟类的死亡惨剧。在环环相扣的自然里,有时候一个微不足道的举动,或许也会引发意料不到的结局。
参考文献
[1] Steffen Breinlinger, Tabitha J. Phillips, et al. Hunting the eagle killer: A cyanobacterial neurotoxin causes vacuolar myelinopathy. Science. 371, eaax9050 (2021). DOI: 10.1126/science.aax9050
[2] N. J. Thomas, C. U. Meteyer, L. Sileo, Epizootic vacuolar myelinopathy of the central nervous system of bald eagles (Haliaeetus leucocephalus) and American coots (Fulica americana). Vet. Pathol. 35, 479–487 (1998). DOI: 10.1177/030098589803500602
[3] What is killing bald eagles in the U.S.? https://www.eurekalert.org/pub_releases/2021-03/mh-wik031921.php
本文来自微信公众号:果壳(ID:Guokr42),作者:阳光彩虹小白马
相关推荐
是谁杀死了美国国鸟?
这一次,苹果杀死了谁?
Thomas Cook破产,谁杀死了这家178年的英国体育旅游老店?
它被通用汽车杀死了
谁杀死了那只AI独角兽?
谁杀死了腾讯微博?
谁杀死了免费工具?
互联网存贷「双杀」
密室逃脱向左,剧本杀向右,狼人杀踟蹰不前
Android 杀后台太狠,谷歌:看不下去了,势必要揪出“凶手”
网址: 是谁杀死了美国国鸟? http://www.xishuta.cn/newsview46378.html
推荐科技快讯
- 1问界商标转让释放信号:赛力斯 95792
- 2报告:抖音海外版下载量突破1 25736
- 3人类唯一的出路:变成人工智能 25175
- 4人类唯一的出路: 变成人工智 24611
- 5移动办公如何高效?谷歌研究了 24309
- 6华为 nova14深度评测: 13155
- 7滴滴出行被投诉价格操纵,网约 11888
- 82023年起,银行存取款迎来 10774
- 9五一来了,大数据杀熟又想来, 9794
- 10手机中存在一个监听开关,你关 9519
