我们真的需要大脑吗?
利维坦按:2019年11月,《自然》杂志上发表了一篇论文,名为《没有大脑的生命: 神经放射学和行为学证据表明,严重脑积水情况下,神经可塑性是维持大脑功能的必要条件》(Life without a brain: Neuroradiological and behavioral evidence of neuroplasticity necessary to sustain brain function in the face of severe hydrocephalus),该论文指出,一只患严重脑积水的小鼠存活了下来,不仅如此,其空间记忆、嗅觉、听觉、触觉等均和普通小鼠无异,从而引出生存的“最低限度“讨论。
长期以来,科学家一直认为意识是由于脑内神经元之间广泛存在的协调活动引起的。换言之,意识诞生于大脑亦是一个普遍性共识,然而,“无脑人”的案例又该如何解释呢?
本文来自微信公众号:利维坦(ID:liweitan2014),作者:Fizan,编译:Yord,题图来自:《超体》
在一次讨论中,有位德高望重的人(我不会透露这个人是谁)告诉我:“我认为自我存在于心脏!而不是大脑!那些声称意识存在于大脑的科学论断真是让我发笑。我坚信未来的科学家一定也会认为,自我实际存在于心脏。”
此人还进一步提及我们是用心脏“思考”。出于对他的尊敬,我没说什么。但我一直在腹诽:“这太荒唐了!”此人笃信东方的瑜伽修行、伊斯兰苏菲派和佛教思想,这让我多少理解他为何会说出这样的话,但同时(作为一个相信科学的人),我对此全盘否定。尽管我本人非常尊重那些教派思想(如佛教),但当它们和实证相矛盾时,我还是心存质疑。
这位人士随即称他有据可依。他提到了一些故事,说医生给正常人做脑部扫描后,发现他们的头骨中没有大脑,只有水。听到这里,我又在想这太荒谬了。这可能只是经过夸张渲染的某些趣闻轶事,在口耳相传中渐渐失真。
因此,当我发现这些故事真实存在时,我既震惊又羞愧。
1980年12月,罗杰·莱文(Roger Lewin)在《科学》(Science)期刊上发表了文章,题为“我们真的需要大脑吗?”
这篇文章基于英国神经学家约翰·洛伯(John Lorber,1915-1996)对脑水肿患者的案例研究,并且详细探究了其中一个案例:一名大学生的IQ高达126,拿了数学专业的一等荣誉学位,社交表现也完全正常,但在脑部扫描中,他们发现他实际上没有大脑。

没有大脑组织的头骨内部。© Wikimedia Commons
正常人的大脑皮层厚度一般为4.5厘米,但他只有薄薄的1毫米,剩下的部分充满了水样脑脊液。这一现象可能是因为脑脊液不断积蓄,导致颅内压升高、颅内空间减少,因此大脑皮层向外侧(即向头骨)填充发育缓慢。这也就意味着,大脑皮层沟回越深,发育期间越不受压制,脑结构相对而言就越完整(尽管大脑皮层在压力下仍会收缩,也可能达不到正常状态)。
这一案例被详细记录了下来,并引发了热议,连带着那篇文章也受到关注。最主流的解释似乎是神经自适应功能(也被称为搪塞之辞)。不过,这些现象直至今天仍很难解释。正如荣誉退休教授威廉·里维尔(William Reville)所说:
“我当然解释不了洛伯的发现,但我想指出,在某些案例中,大脑显示出极强的适应力,尽管其容量和结构被严重挤压变形,但仍能以一种近似于我们熟知的‘正常’模式为人体服务。”
洛伯还发现了其他有趣的案例,证明了无脑现象并非独一无二。事实上,在他的研究中,一半的人的大脑中超过95%的区域都是脑脊液,但IQ指数仍然超过100。

约翰·洛伯对脑水肿患者脑部的扫描图。© CRÓNICA
我到现在也不明白,为什么这一现象还未撼动神经学界。我认为它简直是惊天动地。
也许神经自适应理论能够解释某些功能的转移,但可以肯定的是,比起一个1.5千克重的正常大脑,一个只有50克~150克(且只有1毫米厚的大脑皮层)的大脑的认知功能肯定有着巨大缺陷。我们的神经学理论经常将大脑皮层和具信息处理功能的脑区联系起来,比如感觉皮层,运动皮层,听觉和视觉皮层等等。与之相关的还有一些其他的功能,如抽象能力,计算,逻辑思维和记忆等。
很明显,所有这些脑区似乎都被挤压至1毫米厚的皮层上,且仍然正常运转。尽管这篇文章中没有提及形态改变,但更多的近期研究表明,脑水肿患者在神经元的轴突、细胞骨架和突触等方面有很大损伤;神经元死亡数相对较少,但也有继发性变化。

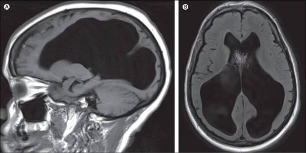
2007年,英国医学权威杂志《柳叶刀》上的病例让世人震惊。这名法国男子44岁,是一名政府公务员。当时,他因为左腿有些毛病才去看的医生。结果医生在为其进行大脑CT和核磁共振扫描后,就惊讶地发现,他的脑室内充满了脑脊液。
那些本该正常的脑组织,则因脑脊液的挤压薄得就像一张纸。脑力测试显示,他的智商为75,虽然比普通人低分略低,但还远不止于被列为智力障碍行列。而且他的生活过得也很美满,几乎没有受影响。事实上,他早已结婚并育有两个孩子,而且还是一位政府公务人员。
这对沟通功能会造成很大影响,但很多患者的智力和认知水平仍在正常范围内。我们难道不应该反思一下我们现下的认知或研究方向吗?现在,我们关于沟通和信号传递的多数理论都仍以大脑为基础。
因为大脑皮层变得更加扁平、容量更小,神经元之间建立新联系的能力也会削弱。通常来说,这些新联系是我们理解大脑活动、解释学习和记忆机制的基础。
例如,实验已证明网格细胞存在于内嗅皮层,和位置细胞(位置细胞的发现者们获得了2014年诺贝尔生理学或医学奖)一起构成动物和人类的导航系统。网格细胞的机制非常复杂,但一大核心在于“模块化组织”。这是神经元有着“空间”整合功能的证据。现在我十分好奇,当这些也被挤压变形,大脑是否还能够正常运行导航系统?

2016年,《柳叶刀》发表的一篇论文中,显示了一位62岁的女性患者脑积水的扫描图。该患者(有高血压病史和2型糖尿病)在入院前精神状态一直很好。© The Lancet
如果我们认为薄薄的1毫米大脑皮层之上,认知、意识和潜意识等过程仍能正常运行,那么我们同时也得承认所有这些(包括意识)过程相对简单得多,也更容易解释。由此而言,大脑应该不会无限复杂。这种看法也支撑了以下观点(这同样出于我个人的直觉),即意识与大脑发育而成的特定构造更加相关,而非取决于某个部位,和/或特定脑区的复杂度。
总的来说,该文使我的观点更具可塑性。它也表明,尤其是在社会科学领域,我们有时会基于总体或总数得出结论。我们从单个数据的集合中找到最匹配或归纳性的结论,但却忽略了个体数据本身的重要性。
那这是否意味着,我们是在用心思考?
这听起来同样荒谬,因为我们知道心脏内大部分是心肌组织。
我已不再牢牢拥护先前的看法,但仍试图在这片混沌之海里打捞一下,而我确实发现了一些很有趣的事情。
2003年发表于《卫报》的一篇文章,以一些轶事为基石,提出了“移植记忆”的概念。很显然,这种情况发生在一些接受了心脏移植的患者身上。他们发展出新的爱好,或者性格有了变化,而这些爱好或性格都来自心脏捐赠者。
这篇文章还提到了别的有趣概念。其一,“肠肌神经丛”是内脏中的第二大脑,可能掌管着情感反应或“直觉”。其二,遍布人体的神经肽可以提供“自我”感,并承载情感和记忆。

神经肽可能提供“自我”感,承载情感和记忆。© Treccani
总的说来,我认为这不太可信,至少还未达到能解释我们眼中事物全貌的程度。不过,提出或正在研究这些观点的人,似乎都是科学家,而非东方神秘主义者。
我还在《Namah》期刊上找到了一篇好文(但我不太确定期刊资质)。它为上述观点及许多其他的观点提供了细节,并在文末列了参考文献来支持那些假说。
综上所述,从个人角度而言,我不知道是否要接受这些替代解释,也不知晓神经可塑性本身是否能说明问题。不管怎样,它确实削弱了我先入为主的想法,我因此感到羞愧。
你怎么看呢?
原文:metascientist.com/do-we-even-need-our-brains/
本文基于创作共同协议(BY-NC),由Yord在利维坦发布
本文来自微信公众号:利维坦(ID:liweitan2014),作者:Fizan,编译:Yord
相关推荐
我们真的需要大脑吗?
我们真的需要 144Hz 甚至 240Hz 屏幕的手机吗?
GPS导航用多了,我们真的会变傻吗?
“人造大脑”道德吗?
新款Apple Watch能测血氧饱和度了,我们真的需要它吗?
AI也需要做梦吗?
我们的大脑,是一台超级计算机吗?
将大脑意识上传云端,实现思维永生,你愿意吗?
一个黑房间能劫持你的大脑吗?
最前线 | 可折叠iPhone或将在2021年发布,但我们真的需要它吗?
网址: 我们真的需要大脑吗? http://www.xishuta.cn/newsview40647.html
推荐科技快讯
- 1问界商标转让释放信号:赛力斯 95792
- 2报告:抖音海外版下载量突破1 25736
- 3人类唯一的出路:变成人工智能 25175
- 4人类唯一的出路: 变成人工智 24611
- 5移动办公如何高效?谷歌研究了 24309
- 6华为 nova14深度评测: 13155
- 7滴滴出行被投诉价格操纵,网约 11888
- 82023年起,银行存取款迎来 10774
- 9五一来了,大数据杀熟又想来, 9794
- 10手机中存在一个监听开关,你关 9519
