人类基因编辑简史:伦理问题亟需解决
成簇规律间隔短回文重复序列(CRISPR),指的是细菌中古老的遗传密码序列,生物学家在20世纪80年代末首次对其感到困惑,经过多年研究,人们发现该细菌编码包含了先前攻击细胞的病毒遗传密码片段。与现有的基因编辑技术相比, CRISPR使基因编辑更容易、更精确、更快、更便宜和更全面,甚至被认为是改变几乎所有生物基因组的突破性手段。随着新型冠状病毒肺炎疫情(COVID-19)的大流行,研究者们已经开始着手应用CRISPR以对抗大流行带来的挑战。长远来看,利用CRISPR的力量能提升人类健康和福祉,但CRISPR也存在一定的伦理问题亟需解决。
本文来自微信公众号:中国工程院院刊(ID:CAE-Engineering),作者:Peter Weiss,原标题《前沿热点丨人类基因编辑技术及其伦理问题》
一、突破性手段
CRISPR作为可以改变几乎所有生物基因组的突破性手段而闻名于世,与现有的基因编辑技术相比, CRISPR使基因编辑更容易、更精确、更快、更便宜和更全面(图1)。自从CRISPR于2012年首次登上世界舞台以来,全球新闻媒体、许多参与其发现和广泛应用的科学家和工程师以及众多的评论员都在告诉世界,人们期望该技术带来奇迹,特别是对人类健康的改善。

图1 20世纪90年代末,克隆羊多莉的遗体在苏格兰爱丁堡的一家博物馆里作为尖端应用生物学的展示,引起了轰动和争议。而如今, CRISPR不仅仅是简单的克隆,还提供了强大的基因工程工具,可用于创建一个增强版的多莉(或人),这引起了人们关于伦理的深切关注(CC BY 2.0)
CRISPR这个缩写指的是细菌中古老的遗传密码序列,生物学家在20世纪80年代末首次对其感到困惑。它代表“成簇的规律间隔的短回文重复序列”。尽管对于不熟悉分子遗传学的人来说其晦涩难懂,但该短语巧妙地概括了细菌染色体的一种遗传编码模式,经过多年的研究,发现该细菌编码包含了先前攻击细胞的病毒遗传密码片段。
病毒的繁殖是通过将其遗传物质——核糖核酸(RNA)或脱氧核糖核酸(DNA)注入到它们入侵的细胞中来繁殖。然后,受感染细胞的内部机制复制病毒的蛋白质和基因组,而不是制造细胞自身的组件。在许多病毒的作用下,这些病毒亚基会自组装成许多新的病毒粒子,从而使宿主细胞破裂,散发出来的病毒会感染更多的细胞和宿主。
在距细菌基因组上的CRISPR区域不远处,存在着蛋白质的基因,这些蛋白质已经进化到可以在细菌内部巡逻。就像具有强大下颚的爆炸物嗅探犬一样,这些分子复合物,如Cas(CRISPR相关系统)蛋白可以与从CRISPR链复制的病毒片段偶联,检查它们遇到的基因链是否与敌对病毒序列匹配。如果复合物匹配到病毒序列,它将通过把敌对基因组切割成无活性的片段来迅速处理。到2000年代中期,分子生物学家意识到CRISPR/Cas系统已成为细菌中最基本的适应性免疫系统,他们开始解构和修补这种精心编排的细菌防御系统。
到2012年,这些CRISPR/Cas系统中的一些,特别是那些当时研究较少的Cas9蛋白,让研究人员眼花,它们能够以其向导RNA为靶标,沿着DNA的确切位置归巢。从那时起,研究人员认识到,他们可以改造这些构建体以靶向基因组中的精确位置。通过在预先选择的精确位置切割DNA链,CRISPR/Cas9复合物可以使单个基因表达或不表达,以及校正、精确修饰和调节其功能。
2019年11月,首批获得基因编辑技术“CRISPR”使用批准的其中一个人体试验报道,在最初接受第一阶段治疗的两名患者身上,都表现出显著的积极疗效。这两名患者都患有一种使人痛苦的、危及生命的遗传性血液病,并且都接受了数十亿的自体造血干细胞的移植。为了产生无病血细胞,这些前体血细胞已被使用CRISPR进行改变。
一名输血依赖型β地中海贫血患者,曾经需要每月输血一次以上才能存活,自治疗以来9个月内无需输血。另一名患者是一名30多岁的女性,患有严重的镰状细胞贫血,每年因畸形红细胞阻塞血管的平均次数为7次,在移植后的4个月,就完全不再发作。
当这些结果公布时,美国国立卫生研究院院长Francis Collins接受采访说:“能够利用这项新技术,并给这些人拥有新生活的机会,这将是梦想成真。”
二、创新引擎
作为创新引擎,CRISPR并不令人失望。对CRISPR/Cas机制以及该技术所能进行实验和操作类型的探索使人们对分子生物学的理解不断加深,从而推动了生命科学和相关行业的广泛研究。
CRISPR技术的开拓者,生物化学家Jennifer Doudna说,科学家现在可以“以前所未有的水平研究生物体”,他也是加利福尼亚大学创新基因组学研究所所长,该研究所是由全州大学系统的旧金山和伯克利(该研究所所在地)校区组成的学术合作组织。在CRISPR技术之前,“如果你想知道一个关于生命遗传学的问题,了解一个遗传学路径,你通常必须借助生物模型工作”,Doudna在 2019年10月的公开演讲中回忆道。“但有了CRISPR,就突然之间有了改变任何有机体DNA的可能。”
这项技术在全球催生了一波科学和生物工程的新见解、技术论文和应用,一大批新成立的公司,以及已建立的科学、生物技术和生物医药公司的新部门。CRISPR在农业、工业、能源、材料和其他领域创造的新生物和带来的改进包括:藻类被用于制造富含可燃脂肪的新型生物燃料;啤酒酿造过程使用更少的水,因为风味来自CRISPR工程设计的酵母(包括薄荷、罗勒基因),而不是耗水量巨大的啤酒花;产白色羊毛的绵羊和白色的小蘑菇,能够保持白色是由于基因编辑阻止了其随年龄增长而颜色逐渐变棕。
“这是一项非常强大的技术。科学家现在拥有控制基因的完整工具箱。”Doudna说,“我们正生活在这种变革性的技术之中,它将改变我们的世界——并且它将在不久的将来改变它自己。”在人类健康领域,也是人们最为期待转变的领域,该技术的潜力现在已经开始得到测试。
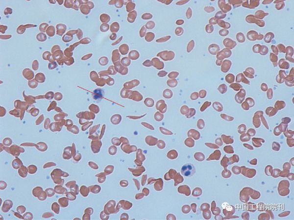
全球数百万患有遗传性疾病的人对这项技术的期待尤其高(图2),如β地中海贫血和镰状细胞贫血以及囊性纤维化、脊髓性肌肉萎缩症和数千种其他疾病,它们都是由一个或多个基因中的一个或几个编码错误而引起的。CRISPR还可能为那些患有癌症、其他身体疾病或精神疾病的患者带来一些希望,这些疾病受有大量缺陷的、相互作用的基因控制,首先CRISPR可以帮助弄清贡献基因的作用,然后可能通过降低疾病的严重性或其影响患者的机会来治疗疾病。

图2 镰状细胞病是一种先天性血液疾病,其特征是红细胞出现异常、僵硬,呈镰刀状,如本次血液涂片所示。目前正在进行的临床试验使用CRISPR操纵基因,有望治愈镰状细胞贫血等先天性疾病患者,取得了良好的初步效果。Credit: Graham Beards (Wikimedia Commons, CC BY-SA 3.0)
但是,该技术并非没有已知的风险。它的编辑机制有时可以改变“脱靶”基因,该基因本身可以引发癌症或细胞功能异常。另外,当引入患者体内时,能够精确切割和粘贴遗传密码的分子复合物可能会触发危险的免疫系统反应。
三、首次批准的人体试验
对安全性有所了解之后,一项基于CRISPR编辑的疗法的早期人类试验在中国进行,该试验于去年秋天在 The New England Journal of Medicine上报道,该研究的重点是人类免疫缺陷病毒(HIV)感染者,同时他们也患有白血病,将接受骨髓移植。为了实现“双重”治疗,研究人员计划使用CRISPR将已知可免疫HIV的基因引入捐赠的骨髓细胞中,然后再移植入患者体内。但是,由于该试验最终只限于一名患者,其白血病症状持续缓解,但HIV感染没有改善,因此它仅提供了一种易接受的安全的尝试。在19个月的监测期间内,该试验没有导致明显的不良后果,患者的白血病病情保持缓解。其他使用CRISPR专门治疗癌症的研究,包括在费城宾夕法尼亚大学的三名患者身上,也显示耐受性良好。
去年开始尝试将CRISPR应用于人类健康的试验的进一步结果,有望在2020年揭露。在一项研究中,生物技术公司Editas Medicine(剑桥,英国)和Allergan (Parsippany-Troy Hills,新泽西州,美国)旨在治愈一种名为Leber先天性黑朦的遗传性失明。在迄今为止的 CRISPR人类试验中,这项试验之所以引人注目,是因为该试验将其生物分子修复机制直接注入患者的眼睛,首先以适量剂量测试其安全性,然后可能以更高剂量来评估疗效。到目前为止,所有其他CRISPR试验都只是在体外对采集或捐赠的细胞进行了基因编辑,这样可以在移植进患者身体之前检查它们的脱靶变化。
然而,由于2019新型冠状病毒(COVID-19)的大流行,一些CRISPR相关的临床试验以及许多其他试验已经停滞了。3月底,CRISPR Therapeutics公司(楚格,瑞士)报道,它和它的合作伙伴Vertex Pharmaceuticals 公司(波士顿,马萨诸塞州,美国)已经停止了其临床试验中受试者的进一步用药,较早一项研究的随访研究报告显示,其中两名患有β地中海贫血和镰状细胞贫血患者的结果令人鼓舞。3月31日,这家瑞士生物技术公司向美国证券交易委员会提交的一份文件显示,由于新冠病毒大流行导致缺乏床位和其他医院资源,造成了公司停业。该公司办公室的关闭以及3月份股价下跌 20%,对试验何时能继续进行带来了不确定性。
四、转向COVID-19
目前至少有一项人体实验处于搁置状态,而生物工程师们已经开始着手应用CRISPR对抗大流行的新挑战。一些值得注意的例子包括,一个小组正在研究CRISPR 能否提供针对严重急性呼吸综合征2型冠状病毒(SARSCoV-2)的生物防护(图3),另一组正利用CRISPR来改进COVID-19的诊断测试。

图3 与全球分子生物学研究一样,CRISPR正在加快与SARS-CoV-2、COVID-19冠状病毒(如这里的医学插图所示)相关的基础科学调查,以及开发新型抗病毒药物和快速诊断测试。HE:血凝素酯酶。资料来源:Scientific Animations (Wikimedia Commons, CC BY-SA 4.0)
2018年,美国国防高级研究计划局与由生物工程助理教授L. Stanley Qi 和儿科学教授David Lewis领导的斯坦福大学实验室签订了合同,来部署CRISPR的天然抗病毒武器,以对抗新兴的和潜在的人类流感病毒。随着冠状病毒疫情迅速扩大,该小组“迅速转向并使用我们的方法来对抗COVID-19”,负责小组该项目工作的在职科学家Marie La Russa说。
研究人员正在开发一种基于CRISPR的新型杀病毒剂,但并不依赖CRISPR吹嘘的基因编辑能力。Qi给这种分子对策取了个绰号叫做“吃豆人”(用于人类细胞中的预防性抗病毒CRISPR),其目的是定位并摧毁病毒粒子的基因组,防止它们在接触过病毒的人群中复制。La Russa说,这些实验最终有可能实现“CRISPR作为临床有效的抗病毒药物的首次应用”。
由于在最初实验中缺少可以研究的SARS-Cov-2实验室菌株,Qi、La Russa和他们的同事模拟了SARSCoV-2的感染,方法是制造病毒基因组区域的RNA副本,并用它们“感染”人类肺上皮细胞的组织培养物。为了检验该策略的防护潜能,他们用Cas13d结合从 SARS-CoV-2基因组中制备的RNA序列作为引导分子来处理细胞。据《细胞》杂志4月29日的报道,有针对性的反击使病毒成分的复制减少了49%~90%。其他几个组织也在研究类似的策略。
紧接着,斯坦福大学的研究小组在生物危害等级为三级的设施中检验了其抵御活性SARS-CoV-2感染的方法,并确定了一种合适的方法将CRISPR/Cas13d药剂安全地送入动物的上、下呼吸道。其最终目标是将 CRISPR/Cas13d输送至人类呼吸道,以预防或治疗病毒性呼吸道感染,包括由冠状病毒或流感病毒引起的感染。Lewis是一名医学博士和病毒免疫学研究员,他说,该项目有望在2021年春天进行人体试验,不过实现这一目标更有可能需要两年。
其他来自美国的CRISPR专家团队一直在探索利用 RNA裂解的Cas蛋白来创建快速且潜在低成本的诊断测试,这些测试对感染性病原体、癌症DNA和其他感兴趣的靶基因具有高度敏感性和特异性。5月初,美国食品药品管理局向马萨诸塞州剑桥市的Sherlock Biosciences公司授予紧急使用权,允许其在医院实验室中进行大容量测试,这是首次为基于CRISPR的COVID-19 诊断测试提供授权。这一成就的背后是一群来自波士顿的麻省理工学院、哈佛大学和相关机构的学术研究人员,他们成立了一家公司,将这项技术商业化。
将这项工作应用于COVID-19表明他们的CRISPR 系统在检测SARS-CoV-2时可以产生荧光信号。据公司介绍,该测试大约能在1 h内产生结果,并且仅仅在棉签或唾液中检测到100个病毒粒子。该公司还声称,该设备在2000次测试中的表现很完美,未产生假阴性或假阳性结果。该公司还致力于将这一技术应用于一种类似妊娠检查的简易设备,以便对COVID-19进行快速的即时诊断。
五、伦理问题
长远来看,如何利用CRISPR的力量提升人类健康和福祉,特别是将其作为基因工程的推动者,是人们日益关注的焦点。2018年11月,中国的一个小型研究团队被发现秘密使用CRISPR修改人类胚胎。
由于这项工作引起了轩然大波,CRISPR提供了相对轻松地改变和控制遗传特征的能力,通过编辑胚胎或成年生殖细胞(如卵子)来修饰基因,从而传递给后代。正因为如此,许多人认为这项技术对人类血统充满伦理和道德上的威胁。“CRISPR婴儿”中编码的种系编辑可能会带来未知的健康风险,这些风险有可能会遗传给后代。然而,批评家警告说,在极端的情况下,CRISPR可以促进优生学,通过这种方式,可以指定孩子们有或没有特定的特征。
2019年2月,据中国新华社报道,在对非法医疗行为进行刑事审判后,法院已对修改胚胎的三名成员判处监禁和罚款。前深圳南方科技大学副教授、该队队长何建奎被判处最严厉的刑罚:三年有期徒刑和300万元人民币(约合42.5万美元)的罚款。法院还判处研究人员终生不得参与人工辅助生殖技术服务和其他活动。
CRISPR已经增加了科学家、工程师、伦理学家、宗教领袖、政策制定者和其他组织在会议、学术文章和机构报告中与人类种系编辑的对、错、风险和利益相关的讨论和辩论的紧迫性。然而,直到2018年11月,这一对话都是在一个有普遍共识的背景下进行的,一些国家比其他国家更加正式地承认了这一共识——不应该进行此类编辑(假如曾经有过),除非在全球范围内对此事进行深入而彻底的审查,有可能的话,建立一个关于此事的权威国际机构。
在2018年事件的推动下,世界卫生组织成立了一个新的委员会来重新讨论这个问题,同样地,美国国家科学院和医学院与英国皇家学会也合作成立了一个国际委员会。这些机构预计将于2020年年中发布报告;美国国家科学院的一位发言人在4月初表示,委员会的报告不太可能在6月份之前发布。与此同时,3月3日,法国、德国和英国的三个道德委员会就他们在人类遗传基因组编辑的立场发表了一份联合声明,表示这一行为在这三个国家和欧洲其他大部分国家以及韩国、澳大利亚、加拿大、墨西哥和巴西都是法律禁止的。
注:本文内容呈现略有调整,若需可查看原文。
原文:
Peter Weiss.CRISPR Use in Humans Shows Promise While Experts Weigh Ethical Concerns[J].Engineering,2020,6(7):719-722.
本文来自微信公众号:中国工程院院刊(ID:CAE-Engineering),作者:Peter Weiss
相关推荐
人类基因编辑简史:伦理问题亟需解决
李飞飞斯坦福对话基因编辑发明人杜德纳:两大科技的伦理和创新走向何方?
2019 年最精彩 AI 论战:李飞飞论战《未来简史》作者赫拉利
贺建奎手稿曝光:从“基因编辑婴儿”到“完美人类”还有多远?
马化腾担忧AI等带来科技伦理问题 究竟该怎么办
阴谋论下的人脸识别简史
审视“基因编辑”:社会文化的技术隐喻
迷你“人造大脑”初具雏形,未来面临伦理问题
城市通勤简史
手机“变色”简史
网址: 人类基因编辑简史:伦理问题亟需解决 http://www.xishuta.cn/newsview32501.html
推荐科技快讯
- 1问界商标转让释放信号:赛力斯 95792
- 2报告:抖音海外版下载量突破1 25736
- 3人类唯一的出路:变成人工智能 25175
- 4人类唯一的出路: 变成人工智 24611
- 5移动办公如何高效?谷歌研究了 24309
- 6华为 nova14深度评测: 13155
- 7滴滴出行被投诉价格操纵,网约 11888
- 82023年起,银行存取款迎来 10774
- 9五一来了,大数据杀熟又想来, 9794
- 10手机中存在一个监听开关,你关 9519
